Cloud Zoom small image
切片是用特制刀具或切片机把生物体的组织或矿物切成的薄片,用来在显微镜下观察和研究,根据样品切片前的处理不同,切片可以分为:石蜡包埋切片,树脂包埋切片(常温/低温)和冰冻切片;其中石蜡切片是最基本的切片技术,冰冻切片和超薄切片是在石蜡切片基础上发展而来;同时结合组织化学技术,即以常用的化学染料对细胞内主要化学成分和活性成分进行染色,用于后续的研究和观察,其中苏木精伊红染色应用广泛;组织切片及组织化学技术广泛应用于生物学、解剖学、病理学、法医学、临床诊断学等。

名称:病理切片染色服务
可在线通过咨询了解详情
 
通过以下按钮进入下一步

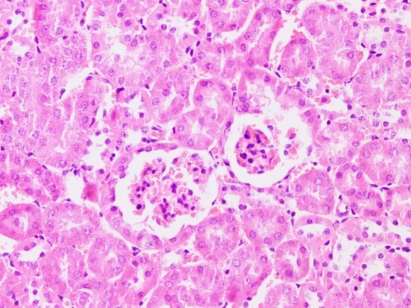
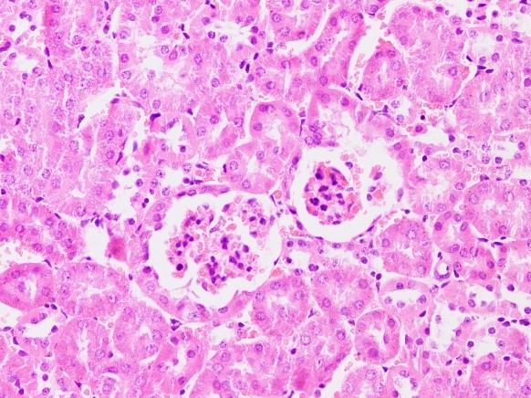
结果展示

HE.jpg

ihc.jpg


送样要求

1.动物组织:处死动物后立即取材,生理盐水冲洗表面,4%的多聚甲醛或者10%的福尔马林固定,一般组织固定48h左右进行包埋最好(尽量不要固定过久),大小不超过1cm*1cm*0.5cm,装组织的管子一定要比组织大(避免挤压影响组织形态),固定液要是体积的5倍,以保障充分固定,封口膜封好避免运输过程中固定液洒出。

2.植物组织:新鲜取材后固定于FAA固定液中,大小不超过1cm*1cm*0.5cm,如果组织悬浮于固定液上,可以抽真空使其下沉。


常规石蜡切片:(已固定好的组织,或石蜡包埋好的蜡块组织标本(常温运输))。
冰冻切片:(4%多.聚.甲.醛固定的组织或OCT包裹的新鲜组织(-80℃或液氮内保存,干冰运输)